Valguse esimese varba deformatsioon mõjutab kõige sagedamini küpses eas naisi, kuid see mõjutab ka mehi. Deformeerunud pöidlapõhi ei tundu esteetiliselt meeldiv. Sel juhul tunneb inimene füüsilist ebamugavust ja kaugelearenenud staadiumis valu. Suure varba kõrvalekalle on jala ebaühtlase kehakoormuse tagajärg. Sellised muutused avaldavad kahjulikku mõju jalgadele ja teistele sõrmedele.
Kumeruse põhjused

Hallux valgus ei esine ilma nähtava põhjuseta. See patoloogia ilmneb ja areneb erinevatel põhjustel. Hallux valgus mõjutab kõige sagedamini inimesi, kellel on selle haiguse suhtes geneetiline eelsoodumus. Arstid märgivad järgmisi ühe varba deformatsiooni põhjuseid:
- Liigne kehakaal.
- Endokriinsed haigused.
- Osteoporoos.
- Lamedad jalad.
- Suhkurtõbi.
- psoriaas.
- Artriit.
- Hormonaalsed muutused raseduse ja vanaduse ajal.
- Kandes kitsaid kingi.
- Elukutse eripära, mis sunnib inimest iga päev taluma suurenenud füüsilist koormust jalgadel.
Etapid ja sordid
Arstid hindavad haiguse progresseerumise kolme etappi:
- Peen valgus kõrvalekalle. Ilmub naha punetus, samuti väikesed marrastused. Ebamugavustunne kõndimisel.
- Pöidlal on juba selgelt näha kasv. Täheldatakse turset ja valu.
- Seda haigusvormi peetakse kaugelearenenud. Inimest häirib pidev suure varba ja kogu jalalaba talumatu valu ning keratiniseerunud naha ilmumine. Valu ei kao isegi une ajal.
Ebameeldiva hallux valguse teket mõjutavad paljud tegurid. Eksperdid on tuvastanud järgmised sõrmede deformatsiooni tüübid eraldi kategooriana:
- Ristmise deformatsioon. Kumerus toimub erinevates suundades. Sõrmed üksteisele risti.
- Liigeste kõverus sellisel määral, et need on alati painutatud asendis. Patoloogia arengu esimesel etapil võib käte abil sõrmi sundida sirguma. Kui sel ajal ravi ei alustata, muutuvad sõrmed nii kangeks, et neid ei saa enam kätega sirgeks ajada. Nüüd ei saa ilma operatsioonita hakkama.
- Taylori deformatsioon. Patoloogia, mis mõjutab väikseid sõrmi. Iseloomustab väljakasvu ilmumine luudele.
- Falange kõverus, mis sarnaneb konksudega.

Eksperdid hõlmavad baleriine, kellel on hallux valguse tekke oht. Varvastel tantsimine tekitab teie varvastele suuremat stressi, mis viib nende kõveruseni. Vale kõnnak võib samuti põhjustada soovimatuid tagajärgi. Provotseerivaid tegureid süvendab isegi vanus.
Diagnostilised meetodid
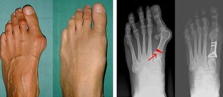
Kui visuaalne kontroll ja röntgen ei anna tulemust, suunatakse patsient võimaliku lampjalgsuse kindlakstegemiseks plantograafiale. See meetod hõlmab jalajälgede võtmist, mille alusel tehakse patsiendile ortopeediliste omadustega kingad või sisetallad. Seejärel määratakse patsiendile podomeetria. Selle meetodi abil määratakse inimese kehakaalu surve jalgadele arvutianalüüsi abil. Täiustatud diagnostika tulemused on aluseks esimese ja teise varba kõveruse ravimeetodi valikul.
Röntgenuuringu puuduseks on vajadus kiiritada patsiendi jalgu, mis paljudele patsientidele ei meeldi. Nad arvavad, et see on liiga kahjulik meetod. Sellega seoses ei saa hallux valguse tõhusat ravi alustada ilma plantograafia tulemusteta.

See on parim informatiivne diagnostiline meetod. Tema abiga määrab arst mitte ainult lamedate jalgade olemasolu, vaid ka jalavõlvide seisundi. Arvutiuuring on kõige tõhusam viis lamedate jalgade tuvastamiseks.
Suure varba ja väikese varba valguse tuvastamise esimeses etapis viib arst läbi visuaalse kontrolli. Sel viisil määrab see patoloogia arenguastme. Liigeste üksikasjalike muutuste tuvastamiseks on ette nähtud röntgenikiirgus ja plantograafia.
Narkootikumide ravi
Parem on alustada jala, aga ka suure varba õrna raviga enne, kui saabub patoloogia viimane arenguetapp. Eksperdid teavad, kuidas seda patoloogiat ravida, kuid nad ei tea, kuidas ravida haiguse kaugelearenenud vormi ilma kirurgilise sekkumiseta. Esiteks määravad arstid kindlaks sõrmede kõveruse põhjuse, samuti komplitseerivate tegurite olemasolu. Nagu teada, hõlmab ravimteraapia ülesanne sümptomaatilist ravi. See tähendab, et valu, põletik ja turse kaovad.
Kõige sagedamini määratakse patsientidele mittesteroidsed põletikuvastased ravimid. Lisaks põhifunktsioonile vähendavad nad valu ja palavikku. Tüsistuste ilmnemisel määratakse sageli hormonaalsed kortikosteroidid. Kui sõrmede deformatsiooni põhjuseks on siseorganite haigused, siis saab liigeseid korrigeerida pärast aluseks oleva patoloogia paranemist. Sel juhul on probleemiga seotud endokrinoloogid koos teiste kõrgelt spetsialiseerunud spetsialistidega. Paljud inimesed püüavad end ravida rahvapäraste abinõude abil, unustades, et see on võimalik ainult patoloogia arengu algfaasis.
Kui patoloogiat märgatakse algstaadiumis, siis kõverdatud pöial sirgendatakse seadmete abil - ortopeediliste omadustega plast- või silikoonpatjadega. Ravi ajal peate kandma pehmeid ja avaraid kingi. Kõverate sõrmede sirgendamiseks kasutatakse ortopeedilisi sisetaldu, kaaretugesid ja muid korrektoreid. Deformeerunud sõrmed fikseeritakse spetsiaalsete lahaste, rõngaste, mütside ja kammidega. Selliste seadmete abil kinnitatakse sõrmed õigesse asendisse. Tänu ortopeedilistele fiksaatoritele peatub sõrmede edasise deformatsiooni areng.
Hallux valguse raviks on kaks võimalust. Esimene on valutu deformatsiooni korrigeerimine, mis ei vaja kirurgilist sekkumist ja taastusravi, teine on ravi läbi operatsiooni.
Kirurgilised ravimeetodid

Hallux valguse täielik ravi on võimalik ainult kirurgi skalpelli abil. Mõnikord piisab vaid ühest operatsioonist ja patsient unustab probleemi igaveseks. Arst teostab kirurgilist sekkumist, võttes arvesse hallux valgus deformatsiooni tüüpi. Kõige tavalisemad toimingute tüübid on:
- Eksostektoomia. Ainult teatud osa metatarsaalluust eemaldatakse.
- Resektsioon artroplastika. Meitarsaali luu otsaosa eemaldatakse.
- Osteotoomia. Seda kasutatakse metatarsaalluu, samuti väikese phalanxi elemendi eemaldamiseks.
- Resektsioon. Operatsiooni eesmärk on kahjustatud pehmete kudede eemaldamine ja seejärel tervete kudede siirdamine nende asemele.
- Artrodees. Tagab liigeste sunnitud liikumatuse.
- Distaalne osteotoomia. Operatsioon hõlmab liigeste vahelise nurga vähendamist.
- Suure varba põletikulise bursa eemaldamine.
- Implantaatide paigaldamine.
Taastusravi periood pärast operatsiooni võib kesta kuni seitse nädalat. Nende paari nädala jooksul viiakse tavaliselt läbi spetsiaalsed ennetusmeetmed. Esiteks on need terapeutilised harjutused, mis soodustavad:
- tervisliku seisundi parandamine;
- valu vähendamine kõndimisel;
- jalalihaste toonuse tõstmine;
- deformeerunud liigendi paigaldamine ja fikseerimine selle loomulikus asendis.
Rehabilitatsiooniperioodi kestus sõltub enamasti sellest, kui keeruline operatsioon oli. Taastumise kiirendamiseks tuleks järgmisel päeval hakata sõrmi liigutama. Nädala pärast saab patsient juba püsti tõusta ja ettevaatusabinõusid kasutades aeglaselt liikuda. Peaasi on vältida pikaajalist stressi.
Pärast operatsiooni vajate kvaliteetseid pehmeid ja avaraid kingi. Seda ostetakse arsti soovitusel. Muide, kui hakkate terapeutilisi harjutusi tegema juba hallux valguse arengu alguses, saate seda teha mitte ainult ilma kirurgilise sekkumiseta, vaid ka ilma raha raiskamata erinevatele seadmetele, salvidele ja ravimitele.
Eksperdid ütlevad, et kirurgilise ravi võimalus annab praktiliselt sada protsenti positiivseid tulemusi. See õrn ravimeetod ei vaja anesteesiat ega põhjusta stressi ega psühholoogilist stressi. Kuid valutud ravimeetodid ei suuda päästa inimest haiguse viimasest staadiumist.
Ennetavad meetmed

Ennetavad meetmed on üsna lihtsad – kanda mugavaid laia ninaosaga jalanõusid, mille sisemus ei avalda varvastele survet. Eelkõige liigesed ja jalad üldiselt taluvad inimese kasvu ajal kogunenud raskust kahjustamata. Seetõttu on ülekaalulisuse vältimiseks väga oluline jälgida oma kehakaalu.
Üks tõhusaid ennetavaid harjutusi on järgmine: toolil istuv inimene, jalad maas, liigutab neid sõrmede abil.
Järgmine harjutus hõlmab paljajalu põrandal kõndimist vaheldumisi varvastel ja kandadel.
Lihtne võimlemine omandatakse kiiresti, mis annab aluse keerukamate füüsiliste harjutuste tegemiseks. Seejärel saate teha selliseid toiminguid nagu pliiatsi või mõne muu eseme põrandalt ülesvõtmine.
Parem on pöidla deformatsiooni ära hoida, kui hiljem meditsiiniasutustes järjekordades seista, et saada arsti soovitusi efektiivse ravi valimiseks.






















